Golfer’s elbow or medial epicondylopathy, is the most common cause of medial (inside) elbow pain and usually seen in people aged 35 – 55 years old.
A remedial massage is the recommended treatment when you are experiencing long-lasting pain. It involves the assessment of muscles, tissues and such in.....
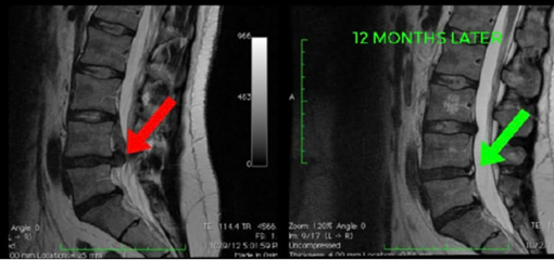
Low Back Pain Physiotherapy Melbourne - Lower back pain is one of the most common causes of pain & disability with up to 80% of people experiencing lower back
Chondromalacia Patella can be a confusing condition with different symptoms for different people. See blog post below if you think you may have Chondromalacia Patella to find out more about what it is and what you can do about it.
What is frozen shoulder? Frozen shoulder or adhesive capsulitis causes pain and stiffness in the shoulder and affects between 2-5% of the population.
Physiotherapy exercises provide the proper correction and enhancement our bodies need. Having the right partner send us in the right direction, assists.....
People who encounter a running injury will wonder if they will still be able to run once again. The best way is to make sure the injury is completely healed.
If you’re having problems improving your flexibility, you may need physiotherapy treatment or advice. Even if you are regularly stretching, the desired...
Successful physio for a pinched nerve in the lower back involves 3 aspects: Symptom reduction, Activity modification & lower back, pelvic and hip strengthening
Find out how to fix Jumper's Knee, or Patella tendinopathy/ Patella Tendinitis with expert sports physiotherapy tips, from our highly skilled team in Melbourne.
Physiotherapy, which is commonly called physical therapy in other countries, is a branch of science that primarily deals with physical medicine and physical...
Are you considering physiotherapy but a friend suggests you see their chiropractor while your mother insists on seeing an osteopath? We discuss the difference.
We visit physiotherapy clinics for a variety of reasons. It may be muscular problems or other conditions. But what is physiotherapy and what are the benefits?
In the 2015 AFL season there was an average of 41 injuries per club. Soft tissue injuries such as hamstring strains make up a large portion of these injuries.
Rotator Cuff Pain can be very intense, though thankfully the correct physiotherapy in Melbourne can help cure rotator cuff tendon pain and shoulder bursitis.
Soccer is one of the most popular sports in Melbourne, and one of the most common sports mentioned that our patients want to return to following injury.
Our feet contain bones, tendons & muscles that are all treated differently with foot physiotherapy management. Accurate diagnosis ensures appropriate management
The following tips and exercises provide complimentary assistance to physiotherapy for back pain as they help strengthen muscles and preventing further back...
Tennis Elbow is a very common injury, however it's important to accurately diagnose the problem to ensure physiotherapy for elbow pain will be effective.
Tight hips are something we see at the clinic every day. Runners, gym goers, athletes, desk workers you name it! By the end of this blog you will be well on...
ACL physiotherapy is treatment targeted at the ACL or anterior cruciate ligament. Athletes in particular are very prone to injuring their knee, particularly...
Piriformis syndrome is a condition that affects both the muscles and nerves in the buttock region. It occurs when the piriformis muscle causes buttock pain.

















